ÀÛ¼ºÀÏ : 13-11-21 17:46
|
±¸Ä¡ºÎ ÀÓÇöõÆ® ¹× ÇϾÇÀüÄ¡ºÎ ºê¸´Áö Áõ·Ê
|
|
|
±Û¾´ÀÌ :
ÀÌÆ°Ä¡°ú
 Á¶È¸ : 3,743
|
 |  |
| Before | After |
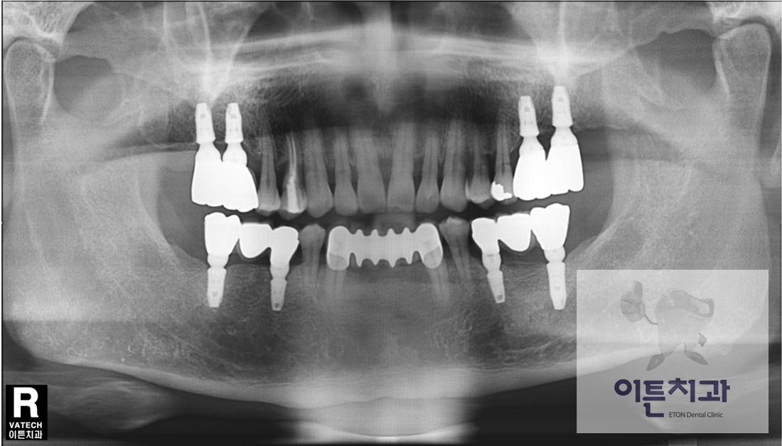
Ä¡¾Æ »ó½Ç ºÎÀ§¸¦ ¼öº¹ÇÏ´Â ¹æ¹ýÀº ¿©·¯°¡Áö°¡ ÀÖÀ¸¸ç ´ëÇ¥ÀûÀ¸·Î ºê¸´Áö¿Í ÀÓÇöõÆ®°¡ ÀÖ½À´Ï´Ù.
ºê¸´Áö´Â ¾çÃøÀÇ Æ°Æ°ÇÑ Ä¡¾Æ¸¦ Å©¶ó¿îÀ¸·Î ¾º¿ì¸é¼ Áß°£¿¡ ÀΰøÄ¡¸¦ ¸Å´Ù´Â ¹æ¹ýÀ̸ç
ÀÓÇöõÆ®´Â ÀΰøÄ¡±ÙÀ» »À¿¡ ½Ä¸³ÇÏ°í »óºÎ¿¡ ÀΰøÄ¡¸¦ ¿¬°á½ÃŰ´Â ¹æ¹ýÀÔ´Ï´Ù.
µÎ ¹æ¹ý ¸ðµÎ Àå´ÜÁ¡ÀÌ ÀÖÀ¸¸ç, Ä¡·á ºÎÀ§ ¹× »óÅ¿¡ µû¶ó ÀûÀýÇÑ ¹æ¹ýÀ» ã¾Æ¾ß ÇÕ´Ï´Ù.
¹«Á¶°Ç ÀÓÇöõÆ®°¡ ÁÁÀº °Íµµ ¾Æ´Ï¸ç, ¸¶Âù°¡Áö·Î ¹«Á¶°Ç ºê¸´Áö°¡ ÁÁÀº °Íµµ ¾Æ´Õ´Ï´Ù.
Ä¡·á ¿¹ÈÄ, Ä¡·á ±â°£, Ä¡·á ºñ¿ë, »ó½Ç ºÎÀ§ÀÇ ÀÕ¸ö°ú »ÀÀÇ »óÅ¿¡ µû¶ó ÀûÀýÇÑ ¹æ¹ýÀ» ã¾Æ¾ß ÇÕ´Ï´Ù.
ÀÌ ÄÉÀ̽º´Â ÇÏ¾Ç ÀüÄ¡ºÎ´Â ºê¸´Áö, »óÇÏ¾Ç ±¸Ä¡ºÎ´Â ÀÓÇöõÆ®¸¦ ÀÌ¿ëÇÏ¿© ¼º°øÀûÀÎ °á°ú¸¦ ¾òÀº °æ¿ìÀÔ´Ï´Ù.
|
|