½ºÅ©¸³Æ®¸¦ »ç¿ëÇÏÁö ¾ÊÀ¸¸é, »çÀÌÆ®¸¦ Á¤»óÀûÀ¸·Î ÀÌ¿ëÇÒ ¼ö ¾ø½À´Ï´Ù.
Àλ縻
ÀÇ·áÁø ¼Ò°³
Áø·á¾È³»
ã¾Æ¿À½Ã´Â ±æ
º´¿ø µÑ·¯º¸±â
ưưÇÑ ÀÓÇöõÆ®
°ñÄ¡ ¾ÆÇ »ç¶û´Ï »©±â
¿¹»µÁö´Â ±³Á¤ Ä¡·á
¾È ¹«¼¿î ½Å°æÄ¡·á
¿À·¡ ¾²´Â º¸Ã¶Ä¡·á
ÀÕ¸ö ưư Ä¡ÁÖÄ¡·á
¿ì¸®¾ÆÀÌ ¼Ò¾ÆÄ¡·á
ÇÏ¾á ¹Ì¼Ò ¹Ì¹é Ä¡·á
V ¶óÀÎ º¸Å彺
°øÁö»çÇ×
Ä¡·á »ç·Ê (½Ã¼úÀüÈÄ»çÁø)
ÀÌÆ° Ä®·³
ÁøÇàÁßÀÎ À̺¥Æ®
Áö³ À̺¥Æ®
·Î±×ÀÎ
ȸ¿ø°¡ÀÔ
Ȩ
ÀÌÆ° Ä¿¹Â´ÏƼ
¿Â¶óÀÎ »ó´ã
ÀÛ¼ºÀÏ : 14-02-12 12:53
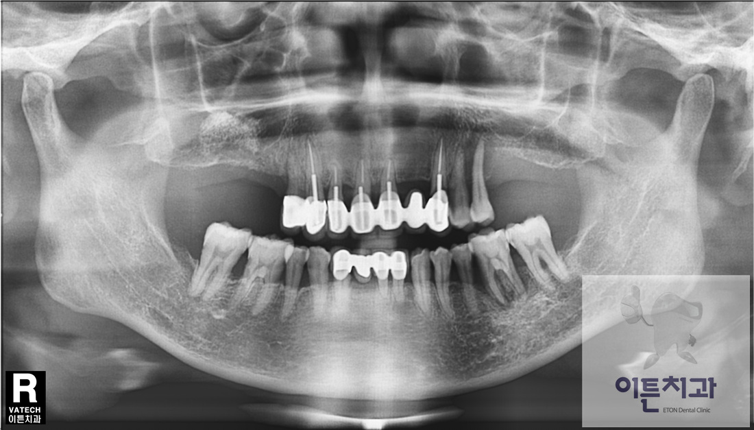
´Ù¼ö Ä¡¾Æ ÀÓÇöõÆ® ¼öº¹
±Û¾´ÀÌ :
ÀÌÆ°Ä¡°ú
Á¶È¸ : 3,768
Before
After
50´ë ¿©¼º ȯÀÚºÐÀ¸·Î¼ »ó¾Çµ¿ °ñ À̽ļú, Ä¡Á¶Á¦ Áõ°¼ú µîÀÇ °ñÀ̽ļúÀ» ÅëÇØ Ä¡Á¶Á¦¸¦ Àç°ÇÇϰí ÀÓÇöõÆ®¸¦ ½Ä¸³ÇÏ¿© »ó½ÇµÈ Ä¡¾ÆµéÀ» ¼öº¹ÇÑ Áõ·ÊÀÔ´Ï´Ù.
copyright (c) 2011 ETON PLUS Dental Clinic all right reserved