½ºÅ©¸³Æ®¸¦ »ç¿ëÇÏÁö ¾ÊÀ¸¸é, »çÀÌÆ®¸¦ Á¤»óÀûÀ¸·Î ÀÌ¿ëÇÒ ¼ö ¾ø½À´Ï´Ù.
Àλ縻
ÀÇ·áÁø ¼Ò°³
Áø·á¾È³»
ã¾Æ¿À½Ã´Â ±æ
º´¿ø µÑ·¯º¸±â
ưưÇÑ ÀÓÇöõÆ®
°ñÄ¡ ¾ÆÇ »ç¶û´Ï »©±â
¿¹»µÁö´Â ±³Á¤ Ä¡·á
¾È ¹«¼¿î ½Å°æÄ¡·á
¿À·¡ ¾²´Â º¸Ã¶Ä¡·á
ÀÕ¸ö ưư Ä¡ÁÖÄ¡·á
¿ì¸®¾ÆÀÌ ¼Ò¾ÆÄ¡·á
ÇÏ¾á ¹Ì¼Ò ¹Ì¹é Ä¡·á
V ¶óÀÎ º¸Å彺
°øÁö»çÇ×
Ä¡·á »ç·Ê (½Ã¼úÀüÈÄ»çÁø)
ÀÌÆ° Ä®·³
ÁøÇàÁßÀÎ À̺¥Æ®
Áö³ À̺¥Æ®
·Î±×ÀÎ
ȸ¿ø°¡ÀÔ
Ȩ
ÀÌÆ° Ä¿¹Â´ÏƼ
¿Â¶óÀÎ »ó´ã
ÀÛ¼ºÀÏ : 20-07-21 11:34
ºÎ·¯Áø ¾Õ´Ï ÀÓÇöõÆ® ½Ä¸³
±Û¾´ÀÌ :
ÀÌÆ°Ä¡°ú
Á¶È¸ : 2,649
Before
After
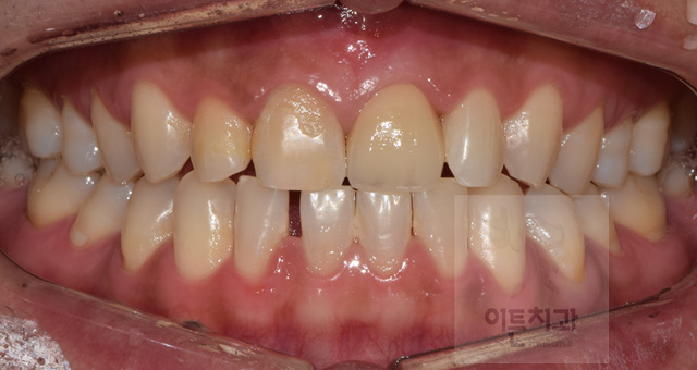
¾Õ´Ï°¡ ºÎ·¯Á® ³»¿øÇϽŠȯÀÚºÐÀÔ´Ï´Ù.
´çÀÏ ³²¾ÆÀÖ´Â »Ñ¸®¸¦ Á¦°ÅÇϰí ÀÓÇöõÆ®¸¦ ½Ä¸³ ÈÄ
Àӽà ġ¾Æ·Î ¼öº¹ÇÏ¿´À¸¸ç,
¾à 3°³¿ù ÈÄ ÃÖÁ¾ º¸Ã¶¹°·Î ¼öº¹ÇÏ¿´½À´Ï´Ù.
copyright (c) 2011 ETON PLUS Dental Clinic all right reserved