½ºÅ©¸³Æ®¸¦ »ç¿ëÇÏÁö ¾ÊÀ¸¸é, »çÀÌÆ®¸¦ Á¤»óÀûÀ¸·Î ÀÌ¿ëÇÒ ¼ö ¾ø½À´Ï´Ù.
Àλ縻
ÀÇ·áÁø ¼Ò°³
Áø·á¾È³»
ã¾Æ¿À½Ã´Â ±æ
º´¿ø µÑ·¯º¸±â
ưưÇÑ ÀÓÇöõÆ®
°ñÄ¡ ¾ÆÇ »ç¶û´Ï »©±â
¿¹»µÁö´Â ±³Á¤ Ä¡·á
¾È ¹«¼¿î ½Å°æÄ¡·á
¿À·¡ ¾²´Â º¸Ã¶Ä¡·á
ÀÕ¸ö ưư Ä¡ÁÖÄ¡·á
¿ì¸®¾ÆÀÌ ¼Ò¾ÆÄ¡·á
ÇÏ¾á ¹Ì¼Ò ¹Ì¹é Ä¡·á
V ¶óÀÎ º¸Å彺
°øÁö»çÇ×
Ä¡·á »ç·Ê (½Ã¼úÀüÈÄ»çÁø)
ÀÌÆ° Ä®·³
ÁøÇàÁßÀÎ À̺¥Æ®
Áö³ À̺¥Æ®
·Î±×ÀÎ
ȸ¿ø°¡ÀÔ
Ȩ
ÀÌÆ° Ä¿¹Â´ÏƼ
¿Â¶óÀÎ »ó´ã
ÀÛ¼ºÀÏ : 13-06-18 12:43
»ó¾Ç ÀüÄ¡ºÎ ºê¸´Áö ¹× ºÎºÐƲ´Ï Áõ·Ê
±Û¾´ÀÌ :
ÀÌÆ°Ä¡°ú
Á¶È¸ : 4,577
Before
After
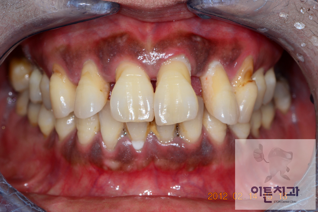
½É°¢ÇÑ Ä¡ÁÖ ÁúȯÀ¸·Î ¿©·¯ Ä¡¾Æ¸¦ »ó½ÇÇϽŠ40´ë ¿©¼º ȯÀÚºÐÀ̽ʴϴÙ.
¾çÃø À§ ¾î±Ý´Ï ºÎÀ§´Â Ä¡ÁÖÁúȯÀ¸·Î »ÀÀÇ ¼Õ½ÇÀÌ ³Ê¹« ¸¹¾Æ ÀÓÇöõÆ®·Î ¼öº¹Çϱ⿡´Â ³Ê¹« ¸¹Àº Ä¡·á ºñ¿ë°ú ±â°£ÀÌ ÇÊ¿äÇßÀ¸¸ç, °á°úÀûÀ¸·Î »ç¿ëÇϱ⿡µµ Ʋ´Ï¸¸ ¸øÇÒ °ÍÀ̶ó´Â ÆÇ´ÜÀÌ µé¾ú½À´Ï´Ù.
±×·¡¼
1)ÁýÁßÀûÀÎ Ä¡ÁÖÄ¡·á¸¦ µ¿¹ÝÇϸé¼
2)¿¹ÈÄ ºÒ·®ÇÑ »ó¾Ç ¾çÃø ÃøÀýÄ¡(µÎ¹øÂ° ¾Õ´Ï)´Â ¹ßÄ¡ ÈÄ ºê¸´Áö·Î ¼öº¹ÇÏ¿´°í
3)¾çÃø À§ ¾î±Ý´Ï(¾çÃø »ó¾Ç ±¸Ä¡ºÎ)´Â ºÎºÐƲ´Ï·Î ¼öº¹ÇÏ¿´½À´Ï´Ù.
4)ÇÏ¾Ç ¾çÃø ´ë±¸Ä¡(Å« ¾î±Ý´Ï) ºÎÀ§ÀÇ ÃæÄ¡Ä¡·áµµ ½ÃÇàÇÏ¿´½À´Ï´Ù.
¿ìÃø »çÁøÀº Ä¡·á Á¾·á ÈÄ ¾à 1³âÀÌ °æ°úµÈ »óÅÂÀÌ¸ç ¾à°£ÀÇ Ä¡¼®ÀÌ Ä§ÂøµÈ °Í ¿Ü¿¡´Â
¸ðµç Ä¡¾Æ°¡ ¹®Á¦¾øÀÌ Àß À¯ÁöµÇ°í ÀÖ´Â »óÅÂÀÔ´Ï´Ù. ȯÀںв²¼µµ ¾Æ¹« ºÒÆí¾øÀÌ
¸Å¿ì ¸¸Á·½º·´°Ô »ç¿ë ÁßÀÎ ÄÉÀ̽ºÀÔ´Ï´Ù~
copyright (c) 2011 ETON PLUS Dental Clinic all right reserved